症例

Case

症例タイトル Copy

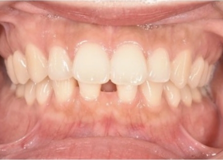
40歳 男性

before

after

治療期間
4年(80回)
費用総額
1,100,000円(税込)
詳細へ

症例タイトル

40歳 男性

before

after

治療期間
4年(80回)
費用総額
1,100,000円(税込)
詳細へ

ご相談・ご予約はこちら

初めての方へ

当院では患者さまの歯並びや噛み合わせ、口元に関するお悩みを事前にオンラインでお聞きし、その原因や対処法を丁寧に分かりやすくご説明します。

初回診療をオンラインでできるため、スピーディーかつお気軽にご相談いただくことが可能です。

初めての方はこちら

アクセス

Access

アクセス

〒464-0808
愛知県名古屋市千種区星が丘山手911番地
サンホシガオカ 1階B号室

名古屋市営地下鉄東山線 星ヶ丘駅 徒歩1分

各種お支払い対応

クレジットカード(Visa・Mastercard・American Express・JCB・Diners Club)、PayPay、デンタルローンに対応しています。